Periodontal disease in pets doesn’t have to lead to extraction.
Periodontal disease is often defined as the loss of the gingival epithelial attachment resulting in pocket formation and furcation exposure. Initiated by sub-gingival plaque accumulation (bacteria), the progression of attachment loss is due to stimulation of the host’s immune system (neutrophils, immunoglobulins, cytokines etc.).
In the majority of small animal practices, teeth with deep periodontal pockets, alveolar bone loss and furcation exposure are extracted; but with the correct diagnosis, dental radiographs, specific materials and instruments, these teeth can often be successfully treated and saved.
Case Study – Wombat the Dachshund
Wombat Stewart, a 13-year-old, desexed female Dachshund dog was referred to our clinic for treatment of re-occurring halitosis. She had been treated by the referring veterinary clinic with regular teeth scaling and polishing, but no homecare plan was successfully implemented. Pre-anaesthetic blood work using IDEXX in-clinic machines showed an increase in pre-renal BUN. All other parameters and general clinical examination were within normal parameters.
Wombat was admitted, commenced IV fluids and anaesthetised for an oral examination. A dental chart was completed. Dental probing indicated generalised gingivitis (increased bleeding on probing), calculus accumulation, gingival recession and attrition (Figure 1).

Figure 1. Photograph of the left side of Wombat’s mouth demonstrating increased plaque and calculus accumulation. Note: due to loss of the caudal maxillary teeth, 309 has plaque build-up and gingival inflammation
Particularly relevant to this case, oral examination confirmed previously extracted maxillary 4th premolar, 1st and 2nd molar teeth bilaterally; increased periodontal probing depths (7 – 9mm on the buccal surface) and furcation (F2) exposure, plaque/calculus accumulation and gingival recession of 309 (Figure 2).

Figure 2. Photograph 309 after envelope flap and root planning was completed. Note: furcation exposure and radiograph sensor placed lingually
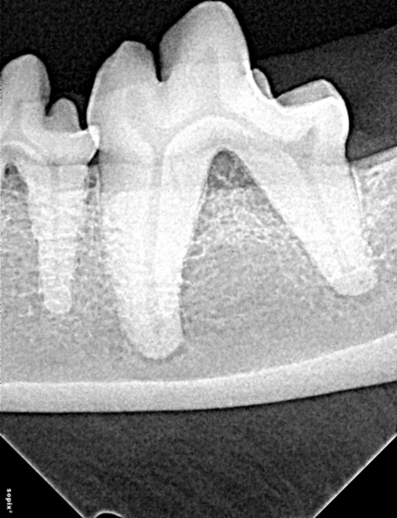
Dental radiographs using Sopix2 digital sensor of 309 showed horizontal alveolar bone loss (Figure 3).

Figure 3. Radiograph 309 showing horizontal bone loss and furcation exposure
A left inferior alveolar nerve block was placed. Complete supra- and sub-gingival scaling was performed using an ultrasonic scaler followed by polishing with a fluoride free pumice. The pumice was removed with a fine jet of water.
An envelope flap of the buccal gingiva adjacent to 309 was raised using a Molt 2/4 periosteal elevator and open root planing using a miniature Gracey 1/2 curette debrided the root surfaces of endotoxins, diseased cementum/dentin, plaque and calculus.
The exposed roots were polished with a fluoride free pumice and washed with a fine jet of water. Once visually clean, an alloplast comprising hydoxyapatite and beta tricalcium phosphate (Synergy) was placed into the furcation defect (Figure 4).

Figure 4. Photograph showing placement of Synergy into 309 furcation defect
The flap was replaced and finger pressure was applied for 2 minutes.
A thin layer of Super Glue was used to attach the flap margin to the enamel, followed by drying and applying SANOS resin (Figure 5).

Figure 5. Photograph showing position of envelope flap after re-placement
A post-op radiograph showed the furcation successfully filled with the alloplast (Figure 6).

Figure 6. Radiograph 309 after placement of Synergy
Wombat recovered from anaesthesia uneventfully.
She was discharged the same day with metronidazole 100mg PO bid, Amoxycillin/clavulanic acid 91.75mg PO bid, and instructions to apply a pea-size drop of Maxiguard Oral gel to the flap bid and to feed soft food for 14 days. An appointment was scheduled for the same time.
Products Used….
Synergy
Synergy™ is an advanced biosynthetic bone graft comprised of calcium phosphates that occur naturally in real bone. It is a biphasic combination of β-Tricalcium Phosphate (β -TCP) and Hydroxyapatite (HA). These intelligent bioactive materials have the proven ability to stimulate bone formation.3 The β -TCP quickly releases calcium ions4 that cause clotting and release of platelet-derived growth factors. This cascade of mineral release and blood clotting provides the perfect environment for stimulation of bone healing. The cancellous-like porosity and surface structure encourage inward cell migration. As the β -TCP resorbs more space is created to support angiogenesis and bone formation1. The micro particles of HA provide a more long lasting osteoconductive structure.
Sanos
Sanos is a liquid resin when applied at the gingival margin seals it to prevent subgingival bacterial entry, whilst still allowing oxygen and crevicular fluid to permeate. It is applied at the time of the dental procedure by painting into and along the gingival margin and into the sulcus. It lasts 6 months.
Maxiguard Oral Cleansing Gel
Maxiguard Oral gel containing zinc gluconate and ascorbic acid acts to decrease halitosis and aids in the healing of inflamed gingival whilst slowing plaque accumulation.

All products are available from K9 Gums – visit the website www.k9gums.com.au or order by phone (03) 9702 4432